Загрязнение Калининградского залива: что увидели спутники
Жители г. Приморск неоднократно наблюдали в прибрежной зоне Приморской бухты странный цвет воды и плавающий мусор. Согласно схеме канализации г. Калининград через Калининградский отводной канал (КОК) в Приморскую бухту сбрасывается вода из городских очистных сооружениях (ОС-1 и ОС-2) после нескольких этапов механической и биологической очистки (заметим, что как сообщается, ОС-2 предоставляют полный комплекс очистки сточных вод промышленного и бытового назначения [1]). Однако, несмотря на это, часть загрязняющих веществ попадает в прибрежные воды залива.

Рис. 1. Интегральная карта крупных пятен пленочных загрязнений, обнаруженных в месте выхода Калининградского отводного канала в Приморскую бухту в 2020-2023 гг. Показаны также очистные сооружения (ОС) гг. Калининград, Светлый, Балтийск и пос. Прибрежный
Это подтвердил анализ архивных радиолокационных изображений (РЛИ) спутников Sentinel-1A и Sentinel-1B за 2020 г. − начало 2023 г., собранных компанией ГК «СКАНЭКС». Главное внимание было уделено обнаружению пятен пленочных загрязнений, которые исходили от места сброса сточных вод из КОК в Приморской бухте (54°41¢40¢¢ с.ш., 20°03¢47¢¢ в.д.) и нередко образовывали темные линейные слики, видимые на РЛИ (рис. 1, 2). Всего в 2020-2022 гг. было обнаружено 41 пятно-слик: 15 в 2020 г., 16 в 2021 г. и 11 в 2022 г., и уже два в 2023 г. Наиболее четко пятна отображались в том случае, если они под действием ветра и течений дрейфовали от восточного берега Приморской бухты на запад. Размеры и площади пятен зависели от количества выносимых маслянистых веществ и гидрометеорологических условий (ГМУ), благоприятных для их дрейфа/растекания; максимально они достигали длины 4-7 км и площади до 2 км2.

Рис. 2. Наиболее крупные пленочные пятна-слики, обнаруженные в Приморской бухте в данных космической радиолокации: 24.09.2020 (длина 7.2 км; площадь 1.8 км2) и 22.02.2023 (4.4 км; 0.65 км2). © ESA, Copernicus Programme 2023
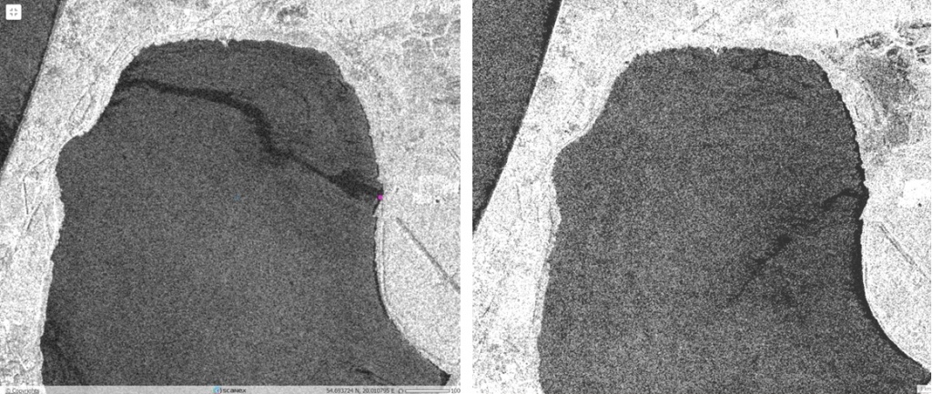
Помимо радиолокации загрязненные воды из КОК часто регистрируются на оптических снимках спутников высокого и среднего разрешения (рис. 3) в поле биооптических характеристик (цвета, мутности), впрочем, так же, как и другие микровыпуски – например, сбросы судоремонтного завода (или ГРЭС-2) в г. Светлый (рис. 4). Анализ РЛИ и оптических снимков также показал, что сточные воды в зависимости от ГМУ могут распространяться вдоль берега как на север, в сторону г. Приморск, так и на юг, к г. Светлый.

Рис. 3. Сточные воды из отводного канала в Приморской бухте на фрагментах снимков спутников WorldView от 25.08.2016 (слева), 4.08.2018 (в центе) и 20.03.2022 (справа). © Maxar Technologies

Рис. 4. Подводные выпуски в затоне г. Светлого у слипов судоремонтного завода на фрагментах снимков спутников WorldView от 25.08.2016 (слева) и 9.11.2021 (справа). © Maxar Technologies
− Наблюдаемые пленочные загрязнения могут быть образованы нефтепродуктами или прочими маслянистыми веществами, используемыми в различных производствах. Возможно, на калининградских очистных сооружениях не происходит полная очистка сточных вод, в том числе от нефтемаслопродуктов, или загрязненные стоки сбрасываются ниже по течению, например, из г. Светлый. Поэтому вероятно, что источников сброса сточных вод в отводной канал больше, чем известно, – говорит эксперт Светлана Клименко, младший научный сотрудник ИО РАН.
Ссылки:
- Канализация в Калининграде https://dc-region.ru/kanalizatsiya-v-kaliningrade
